close

人體試驗新證據!高劑量維生素C,「抗癌」安全性被證實

2017-04-04 由 生物探索 發表于健康

330日,Cancer Cell雜誌上發表了一篇題為「O2⋅− and H2O2-Mediated Disruption of Fe Metabolism Causes the Differential Susceptibility of NSCLC and GBM Cancer Cells to Pharmacological Ascorbate」論文。

來自愛荷華大學的科學家們通過臨床試驗發現,作為一種有望改善標準癌症治療療效的潛在策略,定期向腦癌和肺癌患者注入800-1000倍的維生素C每日推薦劑量被證明是安全的。同時,研究表明,高劑量的維生素C之所以能夠增加癌細胞死亡敏感性與能夠改變癌細胞鐵代謝的關鍵通路有關。

人體試驗證實,高劑量維生素C抗癌是安全的

參與腦癌安全性試驗的11名患者接受了為期9個月的維生素C注射,前2個月每周注射3次,後7個月每周注射2次,同時他們在接受標準的放療和化療。每次注射的目標是提高患者血液中維生素C的濃度到20,000 μM。相比來說,大多數成年人血液中維生素C的濃度約為70 μM。之所以需要很高的劑量,是因為維生素C在人類循環中的半衰期約為2小時。結果顯示,治療通常耐受良好,會產生適度的副作用,包括頻繁地去廁所和口乾。

...

為何是安全的?

那麼,為什麼注射高劑量維生素C是安全的?即便在如此高的水平,維生素C也不「傷害」正常細胞。研究小組發現,腫瘤組織中氧化還原活性鐵分子(異常線粒體代謝的副產物)的水平異常高,它們會與維生素C反應,生成過氧化氫以及衍生自過氧化氫的自由基。這些自由基被認為會選擇性地導致癌細胞DNA損傷,從而引起癌細胞死亡以及癌細胞對放療和化療的敏感性增加。

該研究的共同通訊作者Douglas Spitz說:「我們的研究證實,癌細胞中增加的氧化還原活性金屬離子解釋了為何癌細胞和正常細胞對高劑量維生素C敏感性存在差異。」

...

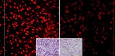
Differential susceptibility of normal cells (left) and cancer cells (right) to vtamin C. Credit: Schoenfeld, et al.

另一篇論文揭示為何高劑量能「奏效」

研究共同作者Garry Buettner說:「這一研究揭示了癌細胞代謝的脆弱性。這使得我們能夠利用現有的氧化還原活性化合物,如維生素C,使得癌細胞對放療和化療變得敏感。」

小編注意到,去年年底,Buettner帶領的研究小組曾在Redox Biology雜誌發表過另一篇解釋高劑量維生素C為何能「殺死」癌細胞的論文(題目:Tumor cells have decreased ability tometabolize H2O2: Implications for pharmacological ascorbate in cancer therapy)。

具體來說,研究發現,維生素C容易分解,產生過氧化氫。後者是活性氧的一種,能夠破壞組織和DNA。正常的細胞有多種途徑清除過氧化氫,使其保持在非常低的水平,從而避免受到傷害。與正常細胞相比,癌細胞清除有害過氧化氫的能力更弱。

...

研究還證實,過氧化氫酶在這一過程中發揮了關鍵的作用。當接觸高濃度的維生素C時,過氧化氫酶活性低的細胞更容易受到損傷,甚至死亡。Buettner表示,這一發現可能會幫助決定在治療中聯合高劑量維生素C能夠改善哪種癌症的治療以及哪些療法的效果。

「我們的研究表明,過氧化氫酶水平較低的癌症可能對高劑量維生素C療法的響應最大。反之亦然。」他解釋道。研究小組的下一目標是,開發測定腫瘤過氧化氫酶水平的方法。

強調注射,而非口服

在上述兩項研究中,補充維生素C的途徑都是注射而非口服。研究證實,靜脈注射維生素C——繞過正常的腸道代謝和排泄途徑——產生的血藥濃度比口服給藥產生的濃度要高100-500倍。重要的是,血液中這種「超高」的濃度正是維生素C攻擊癌細胞能力的關鍵。

..結果「喜人」,但結論需謹慎

安全性研究為II臨床試驗奠定了基礎。研究人員計劃在II試驗中調查是否高劑量的維生素C能夠延長接受化療和放療的患者的總體壽命和生活質量。研究人員目前正在招募4期肺癌患者,並且很快將招募腦癌(多形性成膠質細胞瘤)患者。

他們希望,在II臨床試驗中,聯合維生素C治療,腦癌患者對放療和化療的響應能夠增強。這一預期是基於I試驗的數據:11名多形性成膠質細胞瘤患者的總生存期增加了4-6個月。

該研究的共同通訊作者Bryan Allen表示,儘管現在結果看起來是喜人的,但是在我們完成這些II期試驗之前,我們不能確定是否補充高劑量的維生素C能夠改善治療響應。

 

全站熱搜
創作者介紹
創作者 老柳 的頭像
老柳

印度老船長 癌症自然食療

老柳 發表在 痞客邦 留言(0) 人氣()